
我的二隻腳的大拇趾都有外翻問題, 右腳比左腳明顯些, 一開始沒什麼感覺, 但不知道從什麼時候開始會偶而抽痛, 有時候痛起來得放下手邊的事, 讓它痛完, 雖然只是幾秒鐘的事. 如果路走多了, 疼痛感會持續, 所以我很不喜歡爬山/健行/跑步等活動, 因為對腳的負擔很大.
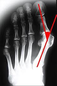
但是比起一些很嚴重的案例來說, 我的外翻角度算是輕微(15度以內), 我看過很凸的, 也看過有人大拇趾和第二趾重疊的.
約莫十年前我在美國看過骨科, 那位美麗的韓裔美籍醫師建議我能不動手術最好, 除非已經痛到影響日常作息, 因為當時的手術方式不能防止未來復發, 而且開刀後的復原過程也蠻辛苦的. 她建議我不要穿尖頭, 高跟, 鞋底薄, 皮硬的鞋子, 最好穿球鞋類, 並可使用具有足弓矯正功能的鞋墊, 來減緩因腳掌內傾, 對大拇趾造成壓力的問題. 她說拇趾外翻也與基因遺傳有關, 不見得全是因為穿鞋不當的關係, 有的農夫一輩子不穿鞋, 也有可能有拇趾外翻的問題.
十年過去了, 右腳掌大拇指突出的部分好像越來越明顯, 撇開美觀不說, 不定時地抽痛和路走多就痛, 而且好像穿什麼鞋到最後還是不舒服 (Merrell, Keen是我覺得最舒服的牌子了), 我連拖鞋都是買有足弓矯正模子的Abeo, 讓我又興起了開刀的念頭. 上網搜尋後, 看到這位背包客美女的拇趾外翻文章, 讓我決定去找長庚骨科的陳永仁醫師諮詢.

陳永仁醫師因為幫徐若萱開拇趾外翻的手術而聲名大噪, 不過親眼見到本尊後, 也不難理解, 因為陳醫師真的很有耐心解釋問題, 能不開刀也是盡量要病人不要開刀, 真的該開刀的才會建議病人開刀, 因為開刀屬侵入性治療, 多少有風險.
我運氣不錯, 我掛到早上21號, 而且那天因為醫師下午要開會, 所以早上門診有限號, 我才能二個小時內看到醫師門診, 接著拍X光片, 沒多久又和醫師一起看X光片, 不然聽說通常早上的診可以看到下午二三點, 而且拍完X光片後要約下次門診才能看.
陳醫師覺得我的角度很小, 建議我暫時不要開刀, 改用泡熱水, 用手扳開拇趾, 按摩突出的骨頭等方式來減輕抽痛的頻率, 等到真的痛到不行, 痛的時間很長, 影響日常作息的時候, 他就會幫我開刀. 他說現在的開刀方式和以前不同, 不但矯正骨頭的位置, 連韌帶都要調整位置, 這樣才不會有復發的問題, 而且傷口很小, 復原時間短, 開刀隔天就可以下床, 二週後回診沒問題後我就可以回美國 (如果未來要開刀的話).
那我就繼續撐吧!
* * * * * * * * *
2/23/2013
原本只在Physical Therapists and Chiropractors診所才會看到的機能運動貼布, 近幾年有其他公司開始往一般大眾發展, 在運動器材店, 健身營養補給店, 一般大型超市或網路商店都可以買到, 有些公司有提供網路教學影片, 有的有提供課程.